80 yaşındaki hasta kapalı akciğer ameliyatıyla sağlığına kavuştu
Yayınlanma:
Bayburt Devlet Hastanesinde bir hastaya kapalı yöntemle akciğer ameliyatı yapıldı. 80 yaşındaki hasta, geçirdiği operasyonun ardından sağlığına kavuştu.
Bypass ameliyatı sonrası Göğüs Cerrahisi Polikliniğine kontrole giden hastanın göğüs boşluğunda sıvı biriktiği tespit edildi.
Tüp torakostomiye dirençli efüzyon nedeniyle değerlendirmeye alınan hastaya Göğüs Cerrahisi Uzmanı Op. Dr. Halil Kolcu tarafından kapalı yöntemle akciğeri serbestleme...
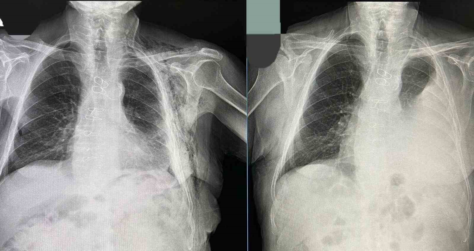
Bayburt Devlet Hastanesinde bir hastaya kapalı yöntemle akciğer ameliyatı yapıldı. 80 yaşındaki hasta, geçirdiği operasyonun ardından sağlığına kavuştu.
Bypass ameliyatı sonrası Göğüs Cerrahisi Polikliniğine kontrole giden hastanın göğüs boşluğunda sıvı biriktiği tespit edildi.
Tüp torakostomiye dirençli efüzyon nedeniyle değerlendirmeye alınan hastaya Göğüs Cerrahisi Uzmanı Op. Dr. Halil Kolcu tarafından kapalı yöntemle akciğeri serbestleme ameliyatı yapıldı.
Başarılı geçen operasyonla hastanın akciğerinin yeniden genişlemesi sağlanırken, sıvı birikiminin önüne geçildi. Hastanın ameliyat sonrası sürecinin sorunsuz ilerlediği ve altıncı günde taburcu edildiği öğrenildi.

Sağlık
Türkçe karakter kullanılmayan ve büyük harflerle yazılmış yorumlar onaylanmamaktadır.