Genç Kız, 15 Ay Boyunca Kalçasında 10 Santim Uzunluğunda Kurşun Kalem Ile Yaşadı

Genç Kız, 15 Ay Boyunca Kalçasında 10 Santim Uzunluğunda Kurşun Kalem Ile Yaşadı
14 yaşındaki ortaokul öğrencisi H.Y.

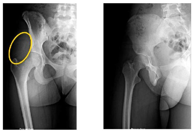
14 yaşındaki ortaokul öğrencisi H.Y. 2017 yılının Şubat ayında karda kayıp düştü. Sert bir şekilde kalçasının üstüne düşen genç kız kalçasında bir ağrı hissetmeye başladı. Eve gittiğinde bir kalem ucu gören genç kız ağrısının nedenini buna bağladı ancak geçmeyince doktora gitti. Röntgen filminde de bir sorun çıkmayan genç kıza doktorlar ağrısının zamanla geçebileceğini söyledi. 15 ay boyunca ağrısı devam edince genç kız birçok hastaneye gitti ve en sonunda İstanbul Üniversitesi Cerrahpaşa Tıp Fakültesi'ne başvurdu. Burada ameliyat edilen genç kızın kalçasından 10 cm uzunluğunda bir kurşun kalem olduğu çıktı. Ameliyatı gerçekleştiren İstanbul Üniversitesi Cerrahpaşa Tıp Fakültesi Öğretim Üyesi Prof. Dr. Nuri Aydın, "Meslek hayatımda böyle bir olaya şahit olmamıştım." dedi.

KURŞUN KALEM RÖNTGENDE BELLİ OLMADIĞI İÇİN TESPİT EDİLEMEDİ

15 ay boyunca kalçasında bir kurşun kalem ile yaşayan genç kızın doktoru Prof. Dr. Aydın, ameliyatı şöyle anlattı: "Hastamızın oturduğunda ağrısı oluyordu. Daha önce birçok doktora gitmiş ve bu ağrının sebebi anlaşılamamıştı. Çok şiddetli ve bazen geceleri bile uyandıran ağrılar yaşamış. Hastayı muayene ettiğimizde kalem olduğuna dair bir bulgu yoktu ancak hasta buzda düştüğünü ve düşme sırasında kalem ucunun batmış olabileceğini bize ifade etti. Röntgende normalde biz metal cisimleri görebiliyoruz ancak bu bir kurşun kalem olduğu için röntgende çok net bir şey görünmüyordu. Hastanın MR'ını çektik ve orada tümör benzeri bir oluşum gördük. Ne olduğu konusunda bizim de bir fikrimiz olmadı o an ve hastayı ameliyata aldık. Ameliyata aldıktan sonra içeriden Yaklaşık 10 cm uzunluğunda bir kurşun kalemin bütün bir şekilde oraya girdiğini gördük. Açıkçası ben de meslek hayatımda ilk kez böyle bir durumla karşılaştım. Hastadan bu cismi çıkardık ve sağlığına kavuştu."

"FELÇ DE OLABİLİRDİ"

Hastanın birçok hastaneye başvurduğunu söyleyen Prof. Dr. Aydın, daha önce röntgen ile tanıya gidildiği için tespit edilemediğini söyledi ve "Çok karşımıza çıkan bir durum olmadığı için bu tarz bir batmanın nedeni gözden kaçmış" dedi. Bacakta kurşun kalemin girdiği bölümde önemli sinirlerin de olduğunu belirten Prof. Dr. Aydın, "Eğer o bölgedeki sinirlerden biri hasar almış olsaydı ciddi bir felç durumu olabilirdi. Ancak böyle bir şey yaşanmadı ve hastamız normal bir şekilde sağlığına kavuştu" dedi.

"KOMŞUMUZUN KIZININ YANLIŞLIKLA ÇARPMASI SONUCU DÜŞTÜM"

15 ay boyunca kurşun kalem ile yaşayan ve ağrılarına uzun süre çözüm bulamadığı için psikolojisi bozulan H.Y. ise komşularının kendisine yanlışlıkla çarpması sonucu kayıp düştüğünü belirtti ve şunları söyledi: "Evden çıkarken komşumuzun kızının yanlışlıkla çarpması sonucu düştüm. Okula giderken aynı gün bir kez daha düştüm. Sonra okuldan çıkıp hastaneye gittim. Birçok hastane ağrılarımın nedeni konusunda net bir şey söylemedi. Daha sonra Prof. Dr. Nuri Aydın ameliyatımın düşük riskli bir ameliyat olduğunu söyledi. Ameliyat olduktan sonra da ağrılarım yok oldu."

Etiketler :
HABERE YORUM KAT
UYARI: Küfür, hakaret, rencide edici cümleler veya imalar, inançlara saldırı içeren, imla kuralları ile yazılmamış,
Türkçe karakter kullanılmayan ve büyük harflerle yazılmış yorumlar onaylanmamaktadır.