Sahurda rahatsızlandı, doktorların şüphesi hayatta tuttu
Diyarbakır’da yaşayan Mehdi Tekin (45), sahur yaptıktan sonra fenalaştı. Ailesinin 112 acil sağlık ekiplerine olayı bildirmesinin ardından Tekin, Diyarbakır Memorial Hastanesine sevk edildi. Hastaneye yetiştirilen ve kalp damarları tıkalı olduğu belirlenen Tekin, yapılan anjiyo ile sağlığına kavuştu.
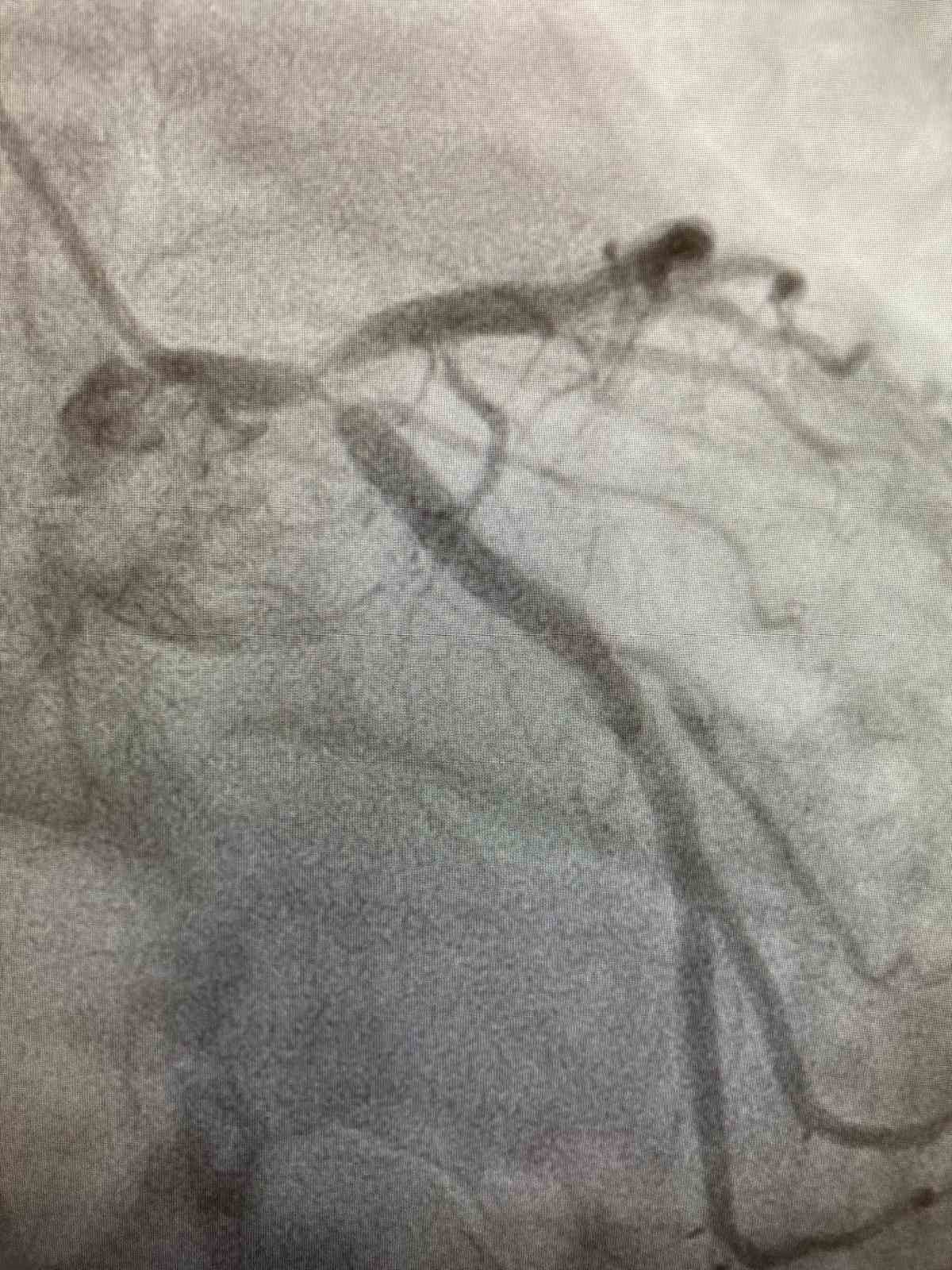
Diyarbakır’da yaşayan ve 3 yıl önce kalp krizi geçirip damarlarına stent takılan Mehdi Tekin, dün sahur yaptığı sırada fenalaştı. Ailesinin haber vermesi üzerine olay yerine 112 acil sağlık ekibi yönlendirildi. Diyarbakır Memorial Hastanesine kaldırılan ve kan değerleri normal çıkan Tekin’in kalp krizini düşündüren şikayetlerinin olması üzerine doktorlar anjiyo yapma kararı aldı. Tekin’e el bileğinden girilerek yapılan anjiyo yapıldı. Kalbin en önemli komşu iki damarının çatal bölgesi tıkalı olan Tekin, yapılan anjiyo ile sağlığına kavuştu.
Konu ile ilgili bilgilendirmelerde bulunan Diyarbakır Memorial Hastanesinde Kardiyoloji Bölümünden Doç. Dr. Mesut Aydın hastaların genç yaşta kalp krizi şikayeti ile hastanelere başvuru yaptıklarını belirtti. Doç. Dr. Aydın, "Genç yaşta artık kalp krizlerini görebiliyoruz çünkü günümüzde maalesef herkeste çok fazla stres var. Beslenme şartları sağlıklı değil, özellikle ailede kalp rahatsızlığı olan kişilerin kalp krizi erken yaşta geçirme ihtimali var ve bunu bilmek lazım. Beklenmedik herhangi bir şikayet özellikle göğüs ağrısı, göğüste yanma, kollarda ağrı bunların dışında baş dönmesi, göz kararması, bayılma hissi, nefes darlığı, çabuk yorulma gibi şikayetler de varsa kişi muhakkak bir kardiyoloji uzmanına muayene olması gerekir’’ dedi.
40 yaş sonrasına dikkat
40 yaşından sonra herkesin bir kalp krizi geçirme ihtimalinin olduğunu kaydeden Doç Dr. Aydın, "Muhakkak yılda en az bir defa kardiyoloji muayenesi olunması gerekir. 45 yaşındaki hastamız göz kararması, baş dönmesi nedeniyle hastanemiz acilinde başvurmuş yapılan tetkikler normal çıkmıştı. Hastamız yaklaşık 3 yıl önce kalp krizi geçirmiş, stent takılmış. Kan değerleri normal çıkmış olmasına rağmen kalp krizini düşündüren şikayetlerinin olması nedeniyle anjiyo yapılmasına karar verdik ve bunun sonucunda kalbin en önemli komşu iki damarın çatal bölgesinde tıkalı olduğunu gördük. El bileğinden kısa sürede yaklaşık bir saat süren bir işlemle damarlar sağlıklı bir şekilde açıldı. Şu an hastamızı sağlıklı bir şekilde taburcu ettik" diye konuştu.
Özellikle Ramazan ayında yeni kalp krizi geçirmiş kişilerin o yıl oruç tutmalarını tavsiye etmediklerini ifade eden Doç Dr. Aydın, "Özellikle şeker hastalarının, yoğun ilaç kullanımı olan kişilerin, ağır kalp yetmezliği olan kişilerin oruç tutması uygun değildir. Kalp krizinden korunmanın en önemli yolu sağlıklı beslenmek ve hareket etmektir. Çok yağlı yemekler yiyerek özellikle hayvansal yağlı gıdalar damarların tıkanmasının önemli nedenidir. Sebze ağırlıklı beslenmek gerekir, haftada bir defa en azından balık yemek gerekir, et tüketimi kalp krizi geçirmiş hastaların haftada iki defa haşlama tarzında yemesini öneririz. Hastalarımızın hareket etmesini haftada en az 5 gün yarım saat veya 3 gün 45 dakika egzersiz yapmasını isteriz. Özellikle kalp hastalarının sigara içmemesi gerekir. Stent takılmış bir hasta sigara içiyorsa stentin tıkanma ihtimali çok yüksektir. Kalp krizi geçirmiş hastalar için kullandığımız ilaçlarımıza hiç ara vermememiz lazım ve kan sulandırıcı ilaçlara dikkat etmemiz lazım. Sağlıklı bireylerin de yılda bir muayene olması gerekir, hareket etmesi gerekir, aşırı kalori beslenmelerden kaçınmak gerekir" şeklinde konuştu.
Hasta Mehdi Tekin ise ’’1980 Diyarbakır doğumluyum. Sahurda aniden rahatsızlandım başım döndü, midem bulandı. 112’yi arayarak ambulans ile Memorial Diyarbakır Hastanesine getirildim. Tetkikler yapıldıktan sonra anjiyo yapıldı. Çok şükür şu an iyiyim hocamıza çok teşekkür ediyorum ilgilerinden dolayı" dedi.

Türkçe karakter kullanılmayan ve büyük harflerle yazılmış yorumlar onaylanmamaktadır.