"Yıllarca görme kaybı yaşayan hasta, ameliyatla iyileşti"
Doğuştan göz bebeği kayması ve katarakt, 53 yaşındaki Şirin Kılıç’ın hayatını gölgelemişti. Yıllarca süren arayışına Göz Hastalıkları Uzmanı Prof. Dr. Yusuf Yıldırım, "Zorlu ama mümkün" diyerek son noktayı koydu. Yıldırım’ın üstlendiği riskli ameliyat başarıyla sonuçlandı. Şirin Kılıç artık dünyaya daha net bakıyor.
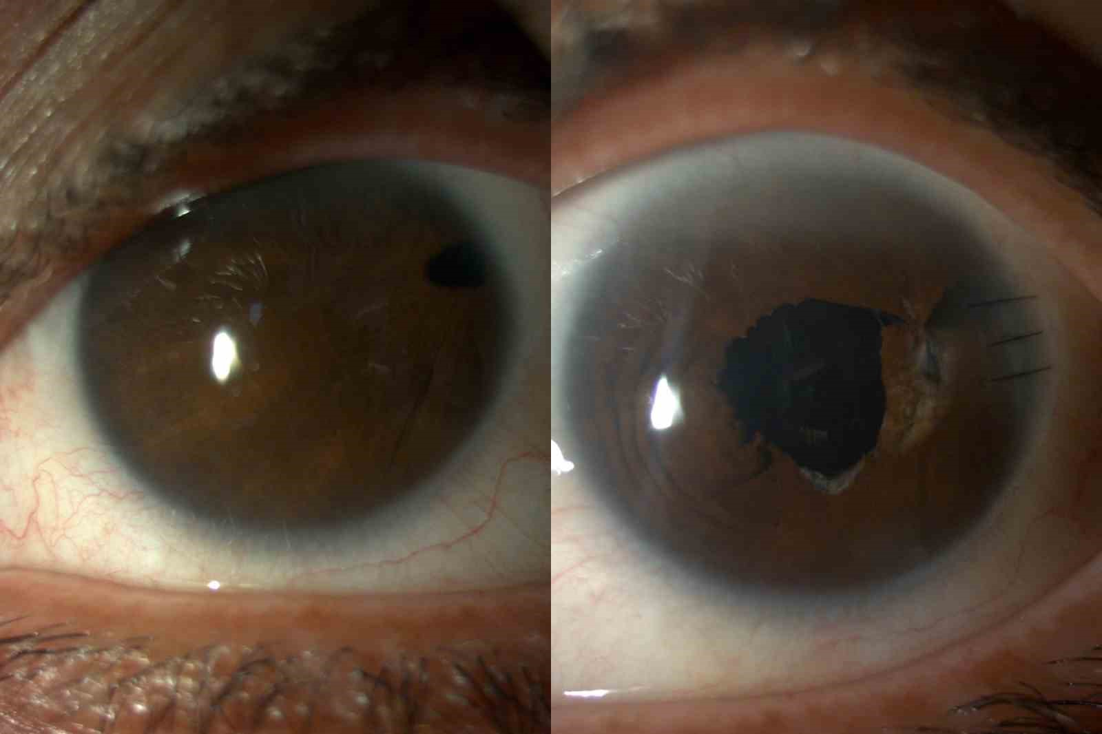
Ölümcül hastalıklar kadar ciddi sonuçlar doğurmasa da görme kayıpları bireyin sosyal yaşamını, psikolojisini ve bağımsızlığını doğrudan etkiliyor. Doğuştan göz bebeği kaymış, çocukluk yıllarından bu yana ciddi görme kaybı yaşayan Şirin Kılıç’ın hayatı, 20 yıl boyunca "yapılamaz" denilen bir ameliyatla değişti. Medipol Mega Üniversite Hastanesi’nde gerçekleştirilen cerrahiyle hem görme düzeyi arttı hem de göz yapısı düzeltildi.
"Görme düzeyini artırmak ve kozmetik kazanım sağlamak mümkündü"
Medipol Mega Üniversite Hastanesi’nden Göz Hastalıkları Uzmanı Prof. Dr. Yusuf Yıldırım, ameliyat öncesinde hastanın oldukça komplike bir tabloyla geldiğini söyleyerek "Hastamız doğuştan göz bebeği kaymış, göz bağları zayıflamış, kataraktı sertleşmiş bir durumdaydı. Gittiği hastanelerde cerrahi çok riskli olduğu için önerilmemişti. Görme düzeyi el hareketi hissi düzeyindeydi. Ancak detaylı değerlendirme sonrası, doğru teknik ve deneyimli bir ekiple bu zorlu ameliyatın mümkün olabileceğini öngördük" dedi.
Teknoloji, deneyim ve hasta güveni
Ameliyatta hem göze zarar vermeden sertleşmiş katarakt temizlendi hem de göz bebeği orta hatta alındı. Prof. Dr. Yıldırım, "Bu tarz ameliyatlar risklidir ama teknoloji, deneyim ve hasta güveni bir araya gelince cerrahi başarılabilinir. Biz de cerrahi tecrübemizi, teknolojik donanımımızı ve ekip ruhunu birleştirerek güzel bir sonuç elde ettik. Hastamızın görme oranı yüzde 30-40 seviyesine yükseldi. Şimdi hedefimiz diğer göze de müdahale ederek daha fonksiyonel bir yaşam sunmak" diye konuştu.
"Kendimi yeniden doğmuş gibi hissediyorum"
Ameliyat sonrası görme yetisini yeniden kazanan Şirin Kılıç ise duygu dolu sözlerle süreci anlattı:
"Gözüm neredeyse 20 yıldır görmüyordu. Bu süreçte çok sayıda doktora gittim ama hepsi ümitsiz baktı. Hiç kimse ameliyatımı kabul etmedi. Gözümde doğuştan gelen bir problem vardı, bebeklerim kenarda kalmıştı. Yıllarca çaresizce bekledim. Bir arkadaşım Medipol Mega Üniversite Hastanesi’nde ameliyat olmuştu. O vesileyle birkaç kez beni hastaneye getirdi. Başta gelmek istemedim çünkü yine ümitsiz bakacaklarını düşündüm. Yusuf hoca benimle çok güzel ilgilendi ve bu ameliyatı üstleneceğini söyledi. Sol gözüm tamamen kapanmıştı. Işık bile görmüyordum. Çok başarılı bir ameliyat geçirdim. Artık net görebiliyorum. Bu gözümün açılacağını, dünyayı yeniden göreceğimi hiç beklemiyordum. Ne kadar teşekkür etsem az. Dünyaları verseler almazdım; bana gözümü verdiler. Çok mutluyum."

Türkçe karakter kullanılmayan ve büyük harflerle yazılmış yorumlar onaylanmamaktadır.